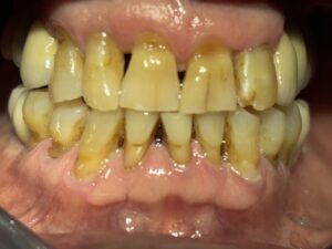
Cuando hablamos de enfermedad periodontal muchas personas piensan únicamente en sangrado de encías o pérdida de hueso alrededor de los dientes. Sin embargo, lo que ocurre a nivel biológico es mucho más importante.
En pacientes con periodontitis existe una superficie ulcerada dentro de las bolsas periodontales que puede alcanzar un tamaño sorprendente: aproximadamente el equivalente a la palma de una mano en casos avanzados.
Esto significa que el paciente convive con una herida crónica abierta dentro de la boca.
Y esa herida tiene consecuencias para todo el organismo.
Cuánta superficie ulcerada puede haber en la periodontitis
Los estudios clásicos de histomorfometría periodontal estimaron que la superficie del epitelio ulcerado dentro de las bolsas periodontales puede llegar a decenas de centímetros cuadrados en pacientes con enfermedad avanzada, lo que se aproxima al tamaño de la palma de la mano.

Esta superficie ulcerada permite el contacto directo entre:
- biofilm bacteriano subgingival
- tejido conectivo vascularizado
- circulación sanguínea

Por este motivo, la periodontitis no debe considerarse únicamente una infección local.
Más de 50 enfermedades asociadas a la enfermedad periodontal
En las últimas dos décadas la investigación ha demostrado que la periodontitis se asocia con decenas de enfermedades sistémicas.
Un análisis que revisó 57 revisiones sistemáticas y metaanálisis encontró asociación entre enfermedad periodontal y 75 enfermedades o resultados sistémicos, de los cuales 67 mostraron asociaciones significativas.
Entre las categorías más estudiadas se encuentran:
Enfermedades cardiovasculares
- infarto de miocardio
- ictus
- aterosclerosis
Enfermedades metabólicas
- diabetes
- síndrome metabólico
Enfermedades neurológicas
- deterioro cognitivo
- depresión
Complicaciones del embarazo
- parto prematuro
- bajo peso al nacer
Enfermedades respiratorias
- EPOC
- infecciones respiratorias
Cáncer
- cáncer de páncreas
- cáncer colorrectal
- cáncer de cabeza y cuello
Las revisiones científicas muestran que la enfermedad periodontal se relaciona con múltiples categorías de patologías, incluyendo cardiovasculares, metabólicas, neurológicas y oncológicas.
Cómo afecta la periodontitis al resto del cuerpo
Existen dos mecanismos principales por los que la enfermedad periodontal puede influir en la salud general.
1. Vía directa: bacteriemia y sepsis transitoria
Las bacterias periodontales pueden entrar en el torrente sanguíneo durante actividades cotidianas como:
- cepillarse los dientes
- masticar
- usar hilo dental
- tratamientos dentales
Estas bacteriemias repetidas pueden provocar una respuesta inflamatoria sistémica y facilitar la colonización bacteriana en otros tejidos.
Este fenómeno se ha relacionado con el desarrollo de aterosclerosis, infecciones cardíacas y otras patologías.
2. Vía indirecta: mediadores inflamatorios
El tejido periodontal inflamado libera continuamente mediadores inflamatorios como:
- IL-1
- IL-6
- TNF-α
- prostaglandinas
- proteína C reactiva
Estos mediadores pasan a la circulación sistémica y contribuyen a un estado de inflamación crónica de bajo grado.
Se sabe que la inflamación sistémica juega un papel clave en enfermedades como:
- diabetes
- enfermedades cardiovasculares
- obesidad
- enfermedades neurodegenerativas
La periodontitis puede contribuir a esta inflamación tanto por bacteriemias recurrentes como por la liberación constante de mediadores inflamatorios desde el tejido gingival afectado.
Lo que dicen los metaanálisis más recientes
La evidencia científica sobre la relación entre periodontitis y salud sistémica sigue creciendo.
Un metaanálisis con millones de pacientes encontró que la periodontitis se asocia con un aumento del riesgo de mortalidad total y cardiovascular.
Otra revisión reciente sugiere que las personas con enfermedades orales pueden tener entre 1,7 y 7,5 veces más probabilidades de desarrollar enfermedades sistémicas o complicaciones médicas.
Además, revisiones genéticas con metaanálisis mendelianos han encontrado evidencia causal entre periodontitis y algunas enfermedades como el ictus cardioembólico.
Por qué tratar la periodontitis es tan importante
Durante mucho tiempo la odontología y la medicina han funcionado como disciplinas separadas. Hoy sabemos que esto es un error.
La boca forma parte del organismo, y la inflamación periodontal puede influir en muchos sistemas del cuerpo.
Tratar la enfermedad periodontal permite:
- reducir la carga bacteriana
- disminuir la inflamación sistémica
- mejorar el control metabólico en pacientes diabéticos
- reducir factores de riesgo cardiovascular
Por eso el diagnóstico precoz y el tratamiento periodontal no solo ayudan a conservar dientes, sino también a proteger la salud general del paciente.
Mensaje para los pacientes
Si tus encías sangran, hay mal aliento persistente o notas movilidad dental, no es algo menor.
Puede ser la señal de una enfermedad inflamatoria que afecta a todo el organismo.
La buena noticia es que la periodontitis se puede tratar y controlar cuando se diagnostica a tiempo.
Bibliografía científica
Hujoel PP, White BA, Garcia RI, Listgarten MA.
The dentogingival epithelial surface area revisited. Journal of Periodontal Research.
Tonetti MS, Van Dyke TE.
Periodontitis and atherosclerotic cardiovascular disease. Journal of Periodontology.
Sanz M et al.
Scientific evidence on the links between periodontal diseases and systemic diseases.
Romandini M et al.
Periodontitis and mortality: systematic review and meta-analysis. Journal of Dental Research.
Comprehensive evidence analysis of periodontal disease and systemic diseases (systematic reviews and meta-analyses).
Association between periodontal disease and systemic diseases.
Periodontitis and systemic inflammation as risk factors for mortality.
Causal association between periodontitis and systemic diseases: systematic review and meta-analysis.
Oral pathogens and systemic diseases review.